咨询/预约
当前位置: 首页 > 成人癫痫
成人首次出现癫痫发作,无论症状轻重、持续时间长短,都应引起高度重视并及时就医。首次发作可能是偶发事件,也可能预示着需要长期干预的慢性脑部疾病。为明确病因、评估风险、制定后续治疗方案
2026-04-08
癫痫,是一种由大脑神经元异常放电引起的慢性脑部疾病。很多人误以为癫痫只发生在儿童时期,其实成年癫痫患者同样不在少数。无论是成年后首次发作,还是儿童期延续至今,规范诊疗都是控制病情、
2026-03-24
“愣神”——最容易被忽视的信号 与儿童良性失神癫痫不同,成人出现“愣神”往往提示大脑存在器质性损伤。这种发作可能源于脑内一个微小的陈旧病灶,如曾经的轻微脑震荡、隐匿的脑血管畸形,或是
2026-02-22
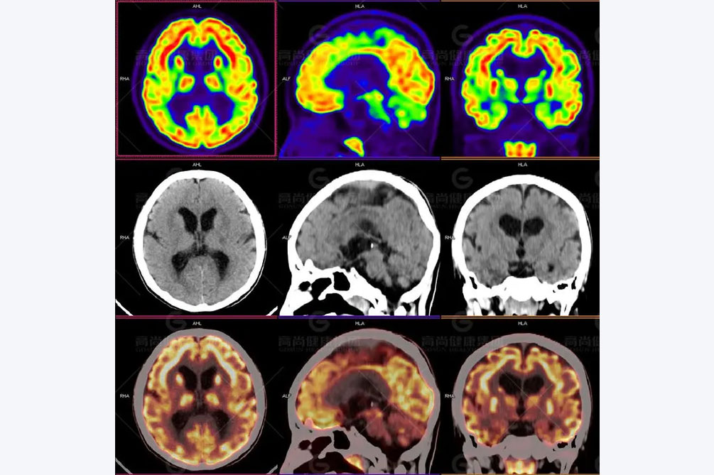
成年后首次出现的癫痫发作,医学上称为“晚发性癫痫”。与儿童期起病的癫痫相比,其诊断核心有一个根本性转变:从以“综合征诊断”为主,转向以“病因诊断”为核心。医生的首要任务不再是单纯分
2026-01-28
当提到“癫痫”,很多人脑海中立刻浮现出“突然倒地、四肢抽搐、口吐白沫”的画面。这种被称为“全面性强直-阵挛发作”的表现确实存在,但它只是成人癫痫众多面貌中的一种。误解一:癫痫就是“抽
2026-01-04
成人癫痫诊断需要做的检查,癫痫疾病是大脑神经元异常放电而导致,短暂的大脑功能障碍的一种慢性疾病,其中成年人是这种疾病的主要群体,更需要我们在生活中积极治疗,才能减轻此病对朋友生活的
2025-09-28